Telofase: imagen al microscopio

Como hemos podido comprobar, los acontecimientos durante la telofase son prácticamente los inversos de los que mencionábamos para la profase. Por tanto, la imagen que obtenemos para la telofase resulta muy parecida a la de la profase, salvo por un detalle que resolverá todas nuestras dudas: en telofase siempre encontraremos dos células contiguas con el mismo aspecto. Veamos el esquema:

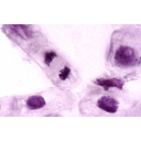
Observemos ahora microfotografías de células reales en telofase:
Icono IDevice Células en telofase
Muestra Imagen
 
Muestra Imagen
 
Muestra Imagen
 
Muestra Imagen
 

 


Este material didáctico ha sido diseñado con una finalidad exclusivamente educativa para su uso en el aula y sin ningún ánimo de lucro.

El autor desea respetar al máximo los derechos de las personas o instituciones titulares de las imágenes que aparecen aquí.

Si alguien considera vulnerados estos derechos y desea notificarlo al autor para su rectificación enviar un e-mail aquí

 

Licencia Creative Commons