Profase: imagen al microscopio

Cuando observamos en el microscopio una célula durante la profase, la imagen que obtendremos será parecida a este esquema en el que se pueden observar los acontecimientos que hemos descrito en la página anterior.

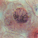
Naturalmente, la imagen anterior es sólo un esquema. Observa a continuación algunas microfotografías reales de células en profase:
Icono IDevice Células en estado de profase
Muestra Imagen
 
Muestra Imagen
 
Muestra Imagen
 
Muestra Imagen
 
Muestra Imagen
 

 


Este material didáctico ha sido diseñado con una finalidad exclusivamente educativa para su uso en el aula y sin ningún ánimo de lucro.

El autor desea respetar al máximo los derechos de las personas o instituciones titulares de las imágenes que aparecen aquí.

Si alguien considera vulnerados estos derechos y desea notificarlo al autor para su rectificación enviar un e-mail aquí

 

Licencia Creative Commons